ハンドウイルカ「テン」妊娠のお知らせ
~2026年7月上旬に出産を予定~
2026年01月20日
京都水族館
京都水族館(所在地:京都市下京区、支配人:坂野 一義)は、当館で飼育するハンドウイルカの「テン」の妊娠が判明しましたのでお知らせします。
ハンドウイルカ「テン」 |
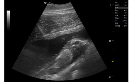
超音波検査の胎仔のようす |
「テン」の妊娠については、2025年9月初旬に、体調管理のため定期的に行っている血液検査で兆候が示され、その後の超音波検査により胎仔の動きを確認しました。現在、妊娠6カ月を経過し、2026年7月上旬に出産を迎える予定です。なお、父親については、赤ちゃんの誕生後にDNA検査を行い特定する予定です。
当面、イルカプログラム「イルカのがっこう」は「テン」の体調を最優先に考慮しながら継続します。ただし、6月以降は安心して出産を迎えられる環境を整えることを優先し、イルカプログラムの休止やイルカスタジアムの封鎖を予定しています。
なお、「テン」は今回初めての妊娠・出産となります。イルカの繁殖は、仔獣が順調に成長することが難しいとされる一方で、当館では、2022年9月30日に「キア」が男の子の「ツムギ」を出産しており、2025年9月に3歳を迎えることができました。当館では、今後も飼育や繁殖・育成の経験を生かすとともに、専門家や他園館の協力を得ながら、「テン」の出産に向けて万全の体制で準備を進めてまいります。
元気な赤ちゃんの誕生に向け、引き続き皆さまのご理解と温かいご声援を賜りますよう、よろしくお願いいたします。
【妊娠個体について】
| 個体名 | テン |
|
出産予定日
|
2026年7月上旬 |
| 年齢(推定) | 16歳(出産時は17歳)※2011年12月22日に京都水族館での飼育を開始 |
施設概要
| 施設名称 | 京都水族館 | ||||
| 英名 | KYOTO AQUARIUM | ||||
| 運営会社 | オリックス不動産株式会社(本社:東京都港区、社長:北村 達也) | ||||
| 運営業務受託会社 | オリックス水族館株式会社(本店:東京都港区、社長:田中 充) | ||||
| 支配人 | 坂野 一義(さかの かずよし) | ||||
| 開業日 | 2012年3月14日(水) | ||||
| 場所 | 京都市下京区観喜寺町35-1(梅小路公園内) | ||||
| 営業時間 | 午前10時00分~午後6時00分 ※一部の土・日・祝日・特定日は午後8時00分まで ※入場受付は閉館の1時間前まで ※日による変更あり。詳細は、営業カレンダーをご覧ください。 ※気象状況および貸切営業等により営業時間を変更する場合あり。 ※入館には人数制限を設けており、混雑状況により整理券を配布させていただく場合がございます。 |
||||
| 休館日 | なし(年中無休)※水族館のメンテナンスや気象状況による臨時休業あり | ||||
| 公式ウェブサイト | https://www.kyoto-aquarium.com | ||||
| 料金(税込み) ※2026年2月10日(火)以降、入場料金および年間パスポート料金が改定になります。 参照:入場料金改定のお知らせ |
【個人のお客さま】 | ||||
| 大人 | 高校生 | 中・小学生 | 幼児 (3歳以上) |
||
| 一般料金 | 2,400円 | 1,800円 | 1,200円 | 800円 | |
| ※中学生、高校生の方は、チケット売り場で生徒手帳の提示が必要。 ※障がい者手帳をご提示の方とご同伴の方(1名)は、一般料金の半額。 |
|||||
| 年間パスポート | 5,300円 | 4,000円 | 2,700円 | 1,800円 | |
| ※中学生、高校生の方は、チケット売り場で生徒手帳の提示が必要。 ※障がい者手帳をご提示の方は、年会費が半額。 |
|||||
| 【団体のお客さま】 | |||||
| 一般団体 (20名以上) |
大人 (大学生含む) |
高校生 | 中・小学生 | 幼児 (3歳以上) |
|
| 2,160円 | 1,620円 | 1,080円 | 720円 | ||
| 学校団体 ※引率の教員の方は無料(一部上限あり) |
大人(大学生・保護者含む) | 高校生 | 中・小学生 | 幼児 (0歳から有料) |
|
| 1,800円 | 1,350円 | 900円 | 600円 | ||
| ※学校の行事としてのご入場に際しての適用 | |||||
| アクセス | <徒歩の方> ・「京都」駅中央口より西へ徒歩約15分 ・JR山陰本線「梅小路京都西」駅より東へ徒歩約7分 <バスをご利用の方> ・「京都」駅より、京都市バスで約8分「七条大宮・京都水族館前」下車、 京阪京都交通で約5分「七条大宮・京都水族館前」下車、または西日本JRバスで約5分「七条大宮・京都水族館前」下車、土日祝は「東寺・梅小路エクスプレス」が運行 ・阪急「大宮」駅より、京都市バスで約8分「七条大宮・京都水族館前」 ・阪急「桂」駅より、京阪京都交通で約16分「七条大宮・京都水族館前」 ・京阪「七条」駅より、京都市バスで約14分「七条大宮・京都水族館前」 ・地下鉄・JR「二条」駅より、京都市バスで約13分「七条大宮・京都水族館前」 |
||||
| 備考 | ・全館禁煙 ・給湯シンクを備えた授乳室(計3カ所) ・おむつ替えコーナー(計8台) ・盲導犬などの介助犬の同伴可能 |
||||
お問い合わせ先
京都水族館 企画広報チーム 杉山・吉永
TEL:075-354-3116 MAIL:press-kyoto@orix-aqua.co.jp
このリリースのPDF版を見る
- PDF版
[250kb]


